A higiene bucal é extremamente importante tanto em fator estético, como em sentindo saúde pois quando qualquer área do corpo não vai bem, vários problemas podem afetar todo o organismo.
A escovação, o uso de fio dental, o uso do enxaguante bucal e a ida no dentista de pelo menos em 6 em 6 meses é essencial para manter um sorriso lindo, com toda a estrutura da boca saudável.
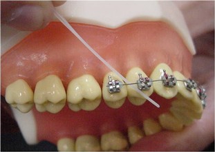
Passar o fio dental já é um pouco difícil, ainda mais quando se usa aparelho ortodôntico. Mas não existe nenhum mistério, apenas a utilização de um fio diferente e o tempo de higienização e atenção que demoram um pouco mais.
Dicas de como utilizar o fio dental com aparelho ortodôntico
* Opte por utilizar fio dental encerado, isto é, os que não possuem tanta possibilidade de enganchar nos ferros do aparelho;
* Escolha os fios que já vem com a parte de cima mais dura para inserir entre o aparelho e os dentes para conseguir passar o fio, pois são os produtos produzidos para a utilização em aparelhos – são chamados de passa fio;
* Pegue pedaços maiores de fio dental para que não passe o mesmo pedaço entre vários dentes;

* Pegue a ponta mais firme do passa fio e coloque-a pela parte de baixo ou de cima do ferro do aparelho, puxe-a para que o fio fique no meio das duas peças dos dentes escolhidos.
O fio deve ser passado normalmente, após terminar basta que uma das mãos puxe a parte firme para fora da boca;
* Esse mesmo procedimento deve ser realizado em todos os encontros dos dentes;
* É necessário que se tenha paciência e cuidado para não machucar a gengiva e nem estragar qualquer peça do aparelho.
O fio dental pode ser utilizado antes ou após a escovação pois a sua função não é eliminar a comida dos dentes, mas sim evitar que se crie aglomeração de placas e bactérias prejudiciais a boca entre os dentes.
A escovação é um fator essencial para evitar diversos tipos de proliferação de micro-organismos e em conjunto com o fio dental e o enxaguante, esse processo se torna ainda mais eficaz. Para quem usa aparelho ortodôntico, esses passos aumentam ainda mais a qualidade de manutenção do aparelho.
E lembre-se, escove sempre os dentes após as refeições. Faça o uso do fio dental pelo menos 2 vezes por dia e não tenha pressa para cuidar da saúde da boca, pois somente dessa maneira você conseguirá um sorriso completamente saudável.










