Tártaro em cachorro como tratar?

O tártaro é uma doença periodontal que acontece tanto em seres humanos quanto em animais. Esse cálculo dentário se inicia quando as placas começam a se acumular, fazendo com que suas bactérias se organizem para produzir toxinas que a médio e longo prazo podem se transformar em uma gengivite. No caso dos cães e outros animais, esse processo se da ainda com mais frequência devido a falta da higienização bucal, ocasionando então a formação do tártaro devido a calcificação dos micro-organismos.

Com a calcificação das placas, as bactérias começam a afetar gradativamente os tecidos de suporte dos dentes, tal como o osso alveolar. Isso faz com que os cães percam seus dentes e lesionem a região, deixando o organismo menos imune contra diversas doenças, principalmente as que acometem o fígado, os rins e o coração.

Causas, sintomas, tratamento e prevenção de tártaro em cães.
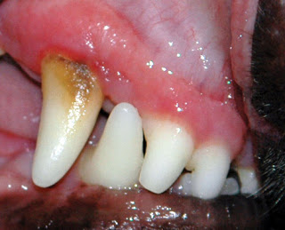
Dente do cachorro com tártaro.
(Foto: Reprodução)

Sintomas

  • Mal cheiro na boca;
  • Sensibilidade nos dentes e na gengiva;
  • Camada amarelada ou mais escura na região dos dentes e da gengiva;

Tem cura?

O tártaro não tem cura, mas é possível que a sua calcificação seja controlada através de limpezas. Elas podem ser realizadas com o animal acordado, porém é feita superficialmente, se tornando menos eficaz do que quando o animal é sedado com uma anestesia, onde a higienização é feita abaixo da gengiva, onde as bactérias se encontram.

Riscos da anestesia

Antigamente, a anestesia era um grande problema nesse procedimento, mas atualmente quase não proporciona nenhum risco ao cão. Nesse procedimento, o animal é entubado, onde recebe uma anestesia inalatória. Durante todo o processo as funções vitais do animal é observada, o que proporciona ainda mais segurança ao cão.

Tratamento

O tratamento é realizado através de uma examinação de todos os dentes do cão através de radiografias infra-orais, onde será avaliado toda a parte óssea da boca. Depois disso, serão realizados cálculos para remover o tártaro que está acima e abaixo da gengiva. Para a realização desse procedimento, é necessário que o animal seja submetido a uma anestesia geral.

Outros tratamentos ainda podem ser realizados, tal como o aplanaimento radicular, o retalho gengival e a extração.

Prevenção

A prevenção contra o aparecimento dos tártaros pode ser feito através da escovação diária do cão, com produtos vendidos em lojas de animais, tal como biscoitos, ossos artificiais, dentifrícios e rações.

Aviso: lembre-se de levar o seu cão pelo menos uma vez no ano à um veterinário especializado em odontologia para saber como anda a saúde bucal do seu animal e realizar alguns tratamentos caso seja necessário.

 

Deixe um comentário

O seu endereço de e-mail não será publicado. Campos obrigatórios são marcados com *

Este site utiliza o Akismet para reduzir spam. Saiba como seus dados em comentários são processados.